Q. A young adult complains of pain in upper thigh in night and have been advised radio frequency ablation for the management of the problematic condition causing the symptoms. Which might be the most likely etiology ?
a. Ivory osteoma
b. Osteoid osteoma
c. Ostefibrous dysplasia
d. Chondroma
e. Osteoblastoma
Answer -
b.
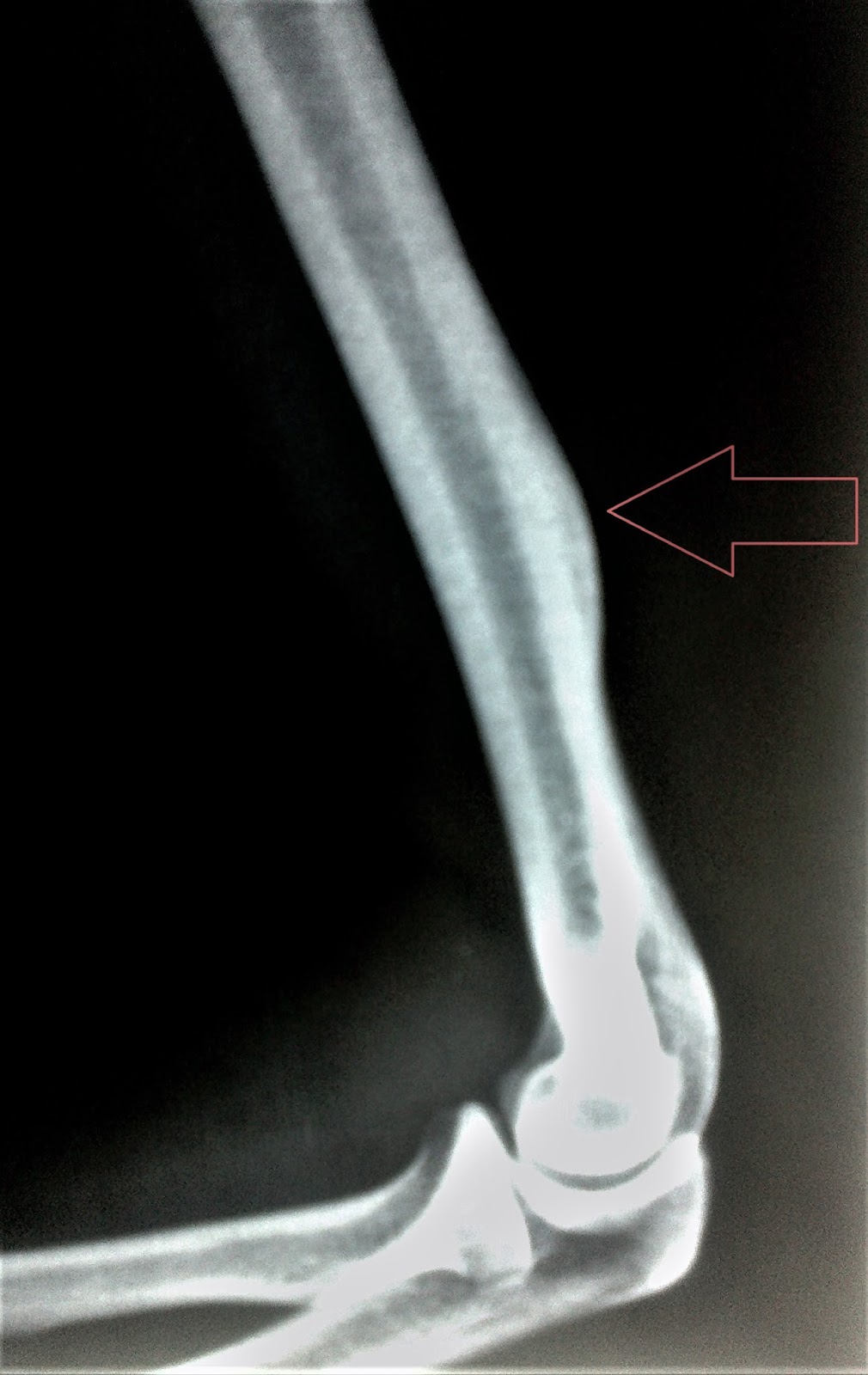
Osteoid osteoma has characteristic night pain that gets dramatically relieved on taking NSAIDS. The radiograph also depicts localised cortical growth, however, CT scan in thin section around the lesion is better I investigation.
The percutaneous radio frequency ablation is widely considered as treatment of choice in cases if osteoid osteoma. That's why this should be the lesion.
Apart from it , one interesting g clue in the question is night pain. Pain in the night that is drastically improves on taking NSAIDS is characteristic feature of osteoid osteoma.
a. Ivory osteoma
b. Osteoid osteoma
c. Ostefibrous dysplasia
d. Chondroma
e. Osteoblastoma
Answer -
b.
Osteoid osteoma has characteristic night pain that gets dramatically relieved on taking NSAIDS. The radiograph also depicts localised cortical growth, however, CT scan in thin section around the lesion is better I investigation.
The percutaneous radio frequency ablation is widely considered as treatment of choice in cases if osteoid osteoma. That's why this should be the lesion.
Apart from it , one interesting g clue in the question is night pain. Pain in the night that is drastically improves on taking NSAIDS is characteristic feature of osteoid osteoma.

No comments:
Post a Comment